作为肺癌中最常见的分型,肺腺癌确诊后,患者和家属依旧会陷入迷茫,从基因检测到靶向用药,从免疫治疗到术后康复,每一步都充满疑问,迫切想要加入专属肺腺癌病...
肺腺癌中最险恶的病理类型那种呢?

肿瘤病友群
微信号:zhongliuw手术切除为早期非小细胞肺癌 (NSCLC) 患者提供了治愈的最大希望,可是手术完全切除后的复发率仍然很高。如今,临床试验已证明术后辅助化疗对NSCLC患者有益,而基于第八版 TNM 分类,一般只建议 IIB 期及以上疾病患者进行辅助化疗,T2a/b N0期或 IB/IIA 期患者可考虑使用辅助化疗。
但是对于 IA 期 NSCLC 患者,目前还没有证据支持其可以使用辅助化疗。然而,很大一部分 IA 期 NSCLC 患者在经历手术完全切除后会发生复发甚至死亡,那么临床上都有哪些原因导致早期肺癌患者发生复发和死亡?这样一个未被满足的重要需求又该如何解决?带着这两个问题,本文将与您一同探索。
肺腺癌中若含有微乳头成分,则意味着更高的复发和预后不良风险
肺癌可根据术后病理分期分为I期、II期和III期,而浸润性肺腺癌中又有许多的病理亚型,比如贴壁型、腺泡型、乳头型、实体型(S亚型)、微乳头型(MP亚型),不同的病理亚型具有不同的预后和复发风险。

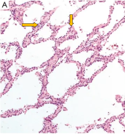
纯贴壁样生长的肺原位癌
(如箭头所指,肿瘤细胞贴壁生长,肺泡形态正常)

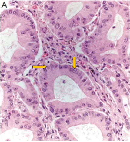
简单腺泡结构的浸润性腺癌
(箭头指向的圆圈型细胞即为腺泡型肿瘤细胞,外层有很薄的被膜,细胞核偏小)

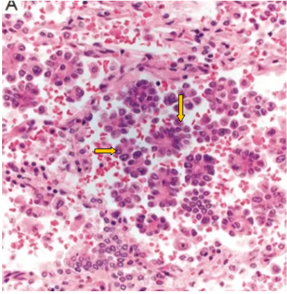
微乳头型腺癌
(箭头指向的微乳头形态的肿瘤细胞成小簇状排列)
一般来说,贴壁型的腺癌为低复发风险,Ⅰ期贴壁型患者的5年无复发生存率可达90%。贴壁型浸润性肺腺癌是单独指具有贴壁状生长方式的浸润性非粘液腺癌,由于与其他组织学亚型为主的浸润性腺癌相比,其预后较好。此外,腺泡型和乳头型为主的腺癌为中等复发风险。
而微乳头则是具有最高复发风险的病理亚型。新版WHO提出了关于微乳头亚型新的定义,即缺乏纤维血管轴心的乳头状簇状肿瘤细胞,微乳头结构可与肺泡壁分离和/或链接,肿瘤细胞通常小且立方状,核有不同程度的异型性,微乳头结构可呈环状的腺样结构,漂浮于肺泡腔内,并在其中纳入了丝状微乳头亚型。因此对于微乳头亚型的肺腺癌,建议进行根治性肺叶切除。除微乳头成分外,实体型也是早期肺腺癌患者预后不良的因素之一。
国际期刊《Thoracic Cancer》发布的研究证明,即使是仅存在“最小量”的S/MP 亚型的肺腺癌IA期患者,也可能会发生侵袭性病理特征和不良预后结果。因此,S/MP 亚型是导致手术结果不佳的重要风险因素之一,在辅助化疗的风险评估中,必须要考虑到 S/MP 亚型的存在,即使是最早期的癌症患者也不能例外。

文章信息截图
该文章对 506 名I、II 和 IIIA 期的肺浸润性腺癌患者的病历和病理报告进行了回顾性研究。结果表明,S/MP 亚型存在于 48.8% (247/506) 的患者中。总体而言,9.9% (50/506) 的患者以 S 亚型为主,0.2% (1/506) 的患者以 MP 亚型为主,25.5% (129/506) 的患者肿瘤中 S/MP 的比例在 5% 以下。
分析显示,S/MP 亚型的存在与年龄、男性和吸烟等因素显著相关。具有S/MP亚型组(S/MP+)患者的肿瘤大小(2.5 [1.0-10.0] cm)显著大于没有 S/MP (S/MP-)亚型的患者组(1.8 [0.6-9.0] cm)。
同时,S/MP+ 组患者淋巴结转移的频率更高(28.3% vs 4.6%),胸膜(44.5% vs 21.6%)、淋巴管(25.9% vs 5.8%)和血管(12.6% vs 2.3%)浸润也更频繁。
两组患者的 CT 特征表明,纯磨玻璃结节和部分实性结节在 S/MP- 组中的发现率在更高,而实性结节是 S/MP+ 组的发现率更高。在部分实性结节中, S/MP 亚型的存在与结节中的高实性成分显著相关,因此这些结果表明,CT 中的实性成分是术前预测 S/MP 亚型的重要放射学因素。
通过6年左右的随访调查(中位随访时间为 32.8 [3.5-74.4] 个月),发现总体而言,S/MP+ 组的 FFR (冠状动脉术后血流储备分数)和 DSS (肺癌特异性生存期)均显著低于 S/MP-组,同时S / MP +组的FFR存在显著恶化。值得注意的是, S/MP 亚型的存在可能是比 I 期肿瘤大小更强的预后决定因素。

S/MP+ 组与S/MP- 组的FFR对比
那么极早期含微乳头成分的肺癌患者该怎么办?
按照最新版2021肺癌NCCN治疗指南,对I期肺癌患者,无论IA期还是IB期都不推荐术后化疗。但如今也有专家认为,对于IB期的年轻患者,如果存在微乳头成分及其他高危因素,可以根据患者意愿和临床评估进行4次术后化疗。同时,IB期含微乳头型的患者也可以考虑靶向治疗,或者化疗后靶向维持治疗。
至于IA期的含微乳头成分的患者,由于完整切除后治愈率很高,术后不建议做任何治疗,也不需要使用任何药物预防复发转移,最重要的是术后的定期复查,保持健康的生活习惯,增强体质,营养均衡,心态保持乐观。
标签: 非小细胞肺癌 肺腺癌 肺腺癌病理 肺腺癌分期 肺腺癌交流群
相关文章
- 详细阅读
- 详细阅读
- 详细阅读
-
格索雷塞用药说明书,规格适应证_不良反应,新型抗肿瘤药物临床应用指导详细阅读
制剂与规格:薄膜衣片:0.2g适应证:本品适用于治疗至少接受过一种系统性治疗的KRASG12C突变型的晚期NSCLC成人患者。(附条件获批)。合理用药...
2026-02-10 506 非小细胞肺癌 格索雷塞 格索雷塞用药说明书 格索雷塞规格适应证 抗肿瘤药物临床应用指导 KRASG12C突变型 晚期NSCLC
- 详细阅读
-
肺腺癌打了紫杉醇+卡铂,咳嗽加剧身体无法承受该如何治疗?详细阅读
肺腺癌病友群聊提问:肺腺癌 ,现在已经打了一个疗程紫杉醇+卡铂,但是咳嗽加剧,之前咳嗽较轻微,现在身体无法承受,下一步如何治疗?戴明 厦门中...
2025-12-11 365 肺腺癌 紫杉醇 卡铂 肺腺癌化疗后咳嗽加重怎么办





发表评论